Arc Antibody [H24C14]

目录号: F3281

    抗体应用: 反应性:
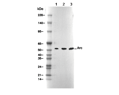
    • Lane 1: U-87 MG, Lane 2: SH-SY5Y, Lane 3: Mouse brain
    • Immunofluorescent analysis of MCF7 cells using F3281 (green, 1:50), Hoechst (blue) and tubulin (Red).
    规格 价格 库存 购买数量
    20uL 790 现货
    50uL 1240 现货
    100uL 1990 现货
    100uL*2 3790 现货

    400-668-6834

    info@selleck.cn

    操作要点

    WB
    建议一抗稀释比: 1:100

    使用信息

    稀释比例
    1:100-1:500
    1-2 µg per 100-500 µg of total protein (1 ml of cell lysate)
    1:50-1:500
    抗体应用
    WB, IP, IF, ELISA
    反应性
    Human, Mouse, Rat
    抗体类型
    Mouse Monoclonal Antibody
    储存液配方
    PBS, pH 7.2+50% Glycerol+0.05% BSA+0.01% NaN₃
    储存条件(自收到货起)
    -20°C (avoid freeze-thaw cycles), 2 years
    预测分子量
    实际分子量
    55kDa
    55 kDa
    *为什么预测分子量和实际分子量会有不同?
    以下原因可能会导致蛋白分子量与预测不同:翻译后修饰(磷酸化/糖基化);剪接变体和异构体;相对电荷;多聚体。

    实验方法

    WB
    实验步骤:
     
    样品制备
    1. 组织样品:破碎组织,加入适量冰冷的 RIPA/NP-40 Lysis Buffer (含蛋白酶抑制剂Cocktail),低温匀浆。
    2. 贴壁细胞样品:吸去培养基, 用冰冷的 PBS 清洗细胞 2 遍。加入适量冰冷的 RIPA/NP-40 Lysis Buffer (含蛋白酶抑制剂Cocktail),冰上静置裂解 5 min。
    3. 悬浮细胞样品:将培养基转移至离心管中离心,弃上清,用冰冷的 PBS 清洗细胞 2 遍。加入适量冰冷的 RIPA/NP-40 Lysis Buffer (含蛋白酶抑制剂Cocktail),冰上静置裂解 5 min。
    4. 将所得匀浆液/裂解液置于离心机中 4°C 离心 15 min,收集上清液;
    5. 取少量裂解液测定蛋白质浓度;
    6. 加入蛋白上样缓冲液,将 20 µL样品在 95~100°C加热 5 min,冰上静置冷却后离心 5 min。
     
    电泳分离
    1. 根据所提蛋白的浓度,将适量蛋白样品和 Marker 上样至 SDS-PAGE 凝胶。建议分离胶(即下层胶)浓度:10 %。 SDS-PAGE 分离胶浓度选择参照表
    2. 电源调 80 V, 30 min。然后电源调 110 V~150 V,观察 Marker,待蛋白所在的预染蛋白 Marker 指示带得到合适的分离后,即可停止电泳。(注意电泳时电流切勿过大,如超过 150 mA 会导致温度上升,容易影响跑胶结果。如无法避免采用大电流,可对电泳槽使用冰浴降温。)
     
    转膜
    1.拿出电转槽,把夹子和耗材浸泡在预冷电转液中;
    2.用甲醇活化 PVDF 膜 1 min,用转移缓冲液冲洗;
    3.按照“夹子黑边-海绵-滤纸-滤纸-胶-PVDF膜-滤纸-滤纸-海绵-夹子白边”的顺序安装好;
    4.将蛋白电转移至 PVDF膜上。(推荐采用 0.45 µm PVDF 膜) PVDF 膜孔径规格选择参照表
    湿转法参考条件:200 mA, 120 min
    (注意电转条件可根据蛋白大小适当调节,分子量大的蛋白适宜采用大电流,并延长转膜时间,但需要确保电转槽始终处于低温的环境中,避免凝胶融化。)
     
    封闭
    1. 电转移后,室温下用 TBST 洗膜 5 min;
    2. 在封闭液中将膜孵育 1 h,室温;
    3. 用 TBST 洗膜 3 次,每次 5 min。
     
    抗体孵育
    1. 用 一抗稀释液配制一抗工作液(建议一抗稀释比 1:100),4°C 条件下与膜轻柔摇晃孵育过夜;
    2. 用 TBST 洗膜 3 次,每次 5 min;
    3. 在封闭液中加入二抗,室温条件下与膜轻柔摇晃孵育 1 h;
    4. 孵育结束后,用 TBST 洗膜 3 次,每次 5 min。
     
    显色
    1. 加入配制好的 ECL 发光底物(或根据二抗选择其他显色基质)混合均匀;
    2. 与膜孵育1 min,去除多余底物(需保持膜湿润),置于显影仪中进行曝光。
     
    IF
    实验步骤:
     
    标本制备
    1. 吸出液体,然后用 1X PBS 稀释的 4% 多聚甲醛覆盖细胞至 2-3 mm 的深度。
    注意:多聚甲醛有毒,只能在通风橱中使用。
    2. 室温固定细胞 15 分钟。
    3. 吸出固定液,用 1X PBS 冲洗 3 次,每次 5 分钟。
    4. 继续进行免疫染色。
     
    免疫染色
    1. 添加封闭缓冲液并在室温下孵育 60 分钟。
    2. 按照建议在抗体稀释缓冲液中制备一抗稀释液。
    3. 吸出封闭液,加入制备好的一抗稀释液。
    4. 4°C 孵育过夜。
    5. 在 1X PBS 中冲洗 3 次,每次 5 分钟。
    6. 将样本放入用抗体稀释缓冲液稀释的荧光染料偶联二抗中,室温避光孵育 1-2 小时。
    7. 在 1X PBS 中冲洗 3 次,每次 5 分钟。
    8. 使用带有 DAPI 的封固剂封固载玻片并盖上盖玻片。
    9. 为获得最佳效果,请让封固剂在室温下固化过夜。 如需长期保存,请将载玻片平放在 41°C 避光保存。
     

    Datasheet & SDS

    生物描述

    特异性

    Arc Antibody [H24C14] 识别内源性总 Arc 蛋白水平。

    蛋白定位
    细胞膜,细胞质,细胞质囊泡,细胞骨架,胞内体,内膜系统,突触
    Uniprot ID
    Q7LC44
    克隆号
    H24C14
    别名
    Activity-regulated cytoskeleton-associated protein, hArc, Activity-regulated gene 3.1 protein homolog, ARC/ARG3.1, Arg3.1, KIAA0278
    背景
    Activity-regulated cytoskeleton-associated protein(活动调节的细胞骨架相关蛋白,Arc),也称为Arg3.1,是对于突触可塑性、学习和记忆至关重要的即时早期基因产物。结构上,Arc采用独特的双叶结构,与HIV Gag蛋白的衣壳域同源,反映了它源自Ty3/Gypsy逆转录转座子家族的进化起源。它包含一个N端叶,其中有一个疏水口袋,介导与关键突触蛋白如CaMKII和TARPγ2(Stargazin)的结合,这些蛋白对于AMPA受体的运输至关重要。Arc在响应突触活动的谷氨酸能神经元中高度表达,并在树突和突触后密度中富集,其严格调控的mRNA快速转运和局部翻译。功能上,Arc通过调节AMPA受体的内吞作用来控制突触强度,并对Hebbian和稳态可塑性都有贡献,对记忆巩固和认知功能起着关键作用。
    参考文献
    • https://pubmed.ncbi.nlm.nih.gov/21963089/
    • https://pubmed.ncbi.nlm.nih.gov/25864631/

    技术支持

    在订购、运输、储存和使用我们的产品的任何阶段,您遇到的任何问题,均可以通过拨打我们的热线电话400-668-6834,或者技术支持邮箱tech@selleck.cn,直接联系到我们。我们会在24小时内尽快联系您。

    * 必填项

    请输入您的姓名
    请输入您的邮箱地址 请输入一个有效的邮箱地址
    请写点东西给我们
    在线咨询
    联系我们