Caspase-3 p12 Antibody [N15D21]

目录号: F2459

    抗体应用: 反应性:
    • Lane 1: HeLa, Lane 2: HeLa (staurosporine, 1uM, 4h)
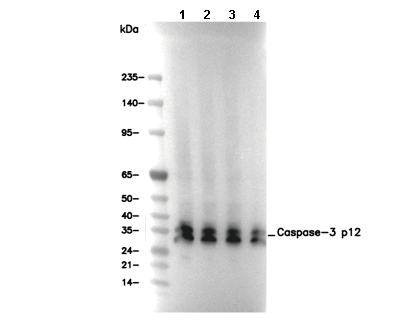
    • Lane 1: Mouse brain, Lane 2: Mouse heart, Lane 3: Rat brain, Lane 4: Rat heart
    • Immunofluorescent analysis of K562 cells using F2459 (green, 1:150), Hoechst (blue) and tubulin (Red).
    1/
    规格 价格 库存 购买数量
    20uL 790 现货
    50uL 1240 现货
    100uL 1990 现货
    100uL*2 3790 现货

    400-668-6834

    info@selleck.cn

    客户使用Selleck的Caspase-3 p12 Antibody [N15D21]发表文献1

    操作要点

    WB
    湿转参考条件:200 mA, 60 min

    使用信息

    稀释比例
    1:1000
    1:2000
    1:150
    抗体应用
    WB, IHC, IF , FCM
    反应性
    Mouse, Rat, Human
    抗体类型
    Rabbit Monoclonal Antibody
    储存液配方
    PBS, pH 7.2+50% Glycerol+0.05% BSA+0.01% NaN3
    储存条件(自收到货起)
    -20°C (avoid freeze-thaw cycles), 2 years
    预测分子量
    实际分子量
    32, 29, 12 kDa
    12 kDa, 32 kDa
    *为什么预测分子量和实际分子量会有不同?
    以下原因可能会导致蛋白分子量与预测不同:翻译后修饰(磷酸化/糖基化);剪接变体和异构体;相对电荷;多聚体。
    阳性对照 HeLa cell (staurosporine, 1uM, 4h); NIH/3T3 cell (staurosporine, 1uM, 4h)
    阴性对照 HeLa cell; NIH/3T3 cell

    实验方法

    WB
    实验步骤:
     
    样品制备
    1. 组织样品:破碎组织,加入适量冰冷的 RIPA/NP-40 Lysis Buffer (含蛋白酶抑制剂Cocktail),低温匀浆。
    2. 贴壁细胞样品:吸去培养基, 用冰冷的 PBS 清洗细胞 2 遍。加入适量冰冷的 RIPA/NP-40 Lysis Buffer (含蛋白酶抑制剂Cocktail),冰上静置裂解 5 min。
    3. 悬浮细胞样品:将培养基转移至离心管中离心,弃上清,用冰冷的 PBS 清洗细胞 2 遍。加入适量冰冷的 RIPA/NP-40 Lysis Buffer (含蛋白酶抑制剂Cocktail),冰上静置裂解 5 min。
    4. 将所得匀浆液/裂解液置于离心机中 4°C 离心 15 min,收集上清液;
    5. 取少量裂解液测定蛋白质浓度;
    6. 加入蛋白上样缓冲液,将 20 µL样品在 95~100°C加热 5 min,冰上静置冷却后离心 5 min。
     
    电泳分离
    1. 根据所提蛋白的浓度,将适量蛋白样品和 Marker 上样至 SDS-PAGE 凝胶。建议分离胶(即下层胶)浓度:10 %。 SDS-PAGE 分离胶浓度选择参照表
    2. 电源调 80 V, 30 min。然后电源调 110 V~150 V,观察 Marker,待蛋白所在的预染蛋白 Marker 指示带得到合适的分离后,即可停止电泳。(注意电泳时电流切勿过大,如超过 150 mA 会导致温度上升,容易影响跑胶结果。如无法避免采用大电流,可对电泳槽使用冰浴降温。)
     
    转膜
    1.拿出电转槽,把夹子和耗材浸泡在预冷电转液中;
    2.用甲醇活化 PVDF 膜 1 min,用转移缓冲液冲洗;
    3.按照“夹子黑边-海绵-滤纸-滤纸-胶-PVDF膜-滤纸-滤纸-海绵-夹子白边”的顺序安装好;
    4.将蛋白电转移至 PVDF膜上。(推荐采用 0.45 µm PVDF 膜) PVDF 膜孔径规格选择参照表
    湿转法参考条件:200 mA, 60 min
    (注意电转条件可根据蛋白大小适当调节,分子量大的蛋白适宜采用大电流,并延长转膜时间,但需要确保电转槽始终处于低温的环境中,避免凝胶融化。)
     
    封闭
    1. 电转移后,室温下用 TBST 洗膜 5 min;
    2. 在封闭液中将膜孵育 1 h,室温;
    3. 用 TBST 洗膜 3 次,每次 5 min。
     
    抗体孵育
    1. 用 一抗稀释液配制一抗工作液(建议一抗稀释比 1:1000),4°C 条件下与膜轻柔摇晃孵育过夜;
    2. 用 TBST 洗膜 3 次,每次 5 min;
    3. 在封闭液中加入二抗,室温条件下与膜轻柔摇晃孵育 1 h;
    4. 孵育结束后,用 TBST 洗膜 3 次,每次 5 min。
     
    显色
    1. 加入配制好的 ECL 发光底物(或根据二抗选择其他显色基质)混合均匀;
    2. 与膜孵育1 min,去除多余底物(需保持膜湿润),置于显影仪中进行曝光。
     
    IF
    实验步骤:
     
    标本制备
    1. 吸出液体,然后用 1X PBS 稀释的 4% 多聚甲醛覆盖细胞至 2-3 mm 的深度。
    注意:多聚甲醛有毒,只能在通风橱中使用。
    2. 室温固定细胞 15 分钟。
    3. 吸出固定液,用 1X PBS 冲洗 3 次,每次 5 分钟。
    4. 继续进行免疫染色。
     
    免疫染色
    1. 添加封闭缓冲液并在室温下孵育 60 分钟。
    2. 按照建议在抗体稀释缓冲液中制备一抗稀释液。
    3. 吸出封闭液,加入制备好的一抗稀释液。
    4. 4°C 孵育过夜。
    5. 在 1X PBS 中冲洗 3 次,每次 5 分钟。
    6. 将样本放入用抗体稀释缓冲液稀释的荧光染料偶联二抗中,室温避光孵育 1-2 小时。
    7. 在 1X PBS 中冲洗 3 次,每次 5 分钟。
    8. 使用带有 DAPI 的封固剂封固载玻片并盖上盖玻片。
    9. 为获得最佳效果,请让封固剂在室温下固化过夜。 如需长期保存,请将载玻片平放在 23°C 避光保存。
     
    IF
    实验步骤:
    样品准备
    1. 贴壁细胞:取洁净无菌盖玻片置于培养皿中,待细胞接近长成单层后取出盖玻片。
    2. 悬浮细胞:将细胞接种至多聚赖氨酸包被的洁净无菌载玻片上。
    3. 冰冻切片:将玻片置于室温下解冻,纯水或 PBS 摇洗 3次,每次 3 min。
    4. 石蜡切片:先将玻片脱蜡至水,纯水或 PBS 摇洗 3次,每次 3 min。然后进行抗原修复。
     
    固定
    1. 使用固定液,如4%多聚甲醛(4% PFA)室温固定细胞爬片/涂片或组织切片 10~15 min。
    2. 使用 PBS 摇洗样品 3次,每次 3 min。
     
    通透
    1. 对样品添加去垢剂,如 0.1~0.3% Triton X-100,室温通透 10~20 min。
    (仅针对胞内抗原,若是细胞膜上表达的抗原则可省略该步骤。)
    2. 使用 PBS 摇洗样品 3次,每次 3 min。
     
    封闭
    添加封闭液,在室温下封闭至少 1 h。(常用的封闭液包括:与二抗同一来源的血清、BSA或山羊血清。)
    注意事项:从封闭开始之后的所有步骤务必保证样品湿润,避免干燥,否则极易产生高背景。
     
    免疫荧光染色(第一天)
    1. 吸走封闭液,滴加稀释后的一抗。
    2. 湿盒中 4°C 孵育过夜。
     
    免疫荧光染色(第二天)
    1. 吸走一抗,PBST 摇洗 3 次,每次 5 min。
    2. 滴加稀释后的荧光二抗,避光 4°C 孵育 1~2 h。
    3. 吸走二抗,PBST 摇洗 3 次,每次 5 min。
    4. 滴加稀释后的 DAPI,室温避光 孵育 5~10 min。
    5. PBST 中摇洗 3 次,每次 5 分钟。
     
    封片
    1. 抗荧光淬灭封片剂封片。
    2. 干燥玻片,将玻片置于室温下避光过夜。
    3. 将载玻片放入玻片盒中 4°C 避光保存。
     
    IHC
    实验步骤:
     
    脱蜡/补液
    1. 脱蜡/水合切片:
    2. 将切片在二甲苯中孵育 3 次,每次 5 分钟。
    3. 将切片在 100% 乙醇中孵育两次,每次 10 分钟。
    4. 将切片在 95% 乙醇洗涤液中孵育两次,每次 10 分钟。
    5. 用 dH2O 清洗切片两次,每次 5 分钟。
    6.抗原修复:对于柠檬酸盐:将载玻片浸入 1X 柠檬酸盐暴露溶液中,在微波炉中加热,直至开始沸腾; 在亚沸温度 (95°-98°C) 下继续煮 10 分钟。 在工作台上冷却玻片 30 分钟。
     
    染色
    1. 用 dH2O 清洗切片 3 次,每次 5 分钟。
    2. 将切片在 3% 过氧化氢中孵育 10 分钟。
    3. 用 dH2O 清洗切片两次,每次 5 分钟。
    4. 在洗涤缓冲液中洗涤切片 5 分钟。
    5. 用 100–400 µl 封闭液在室温下封闭每个切片 1 小时。
    6. 除去封闭液,并向每个切片中添加 100–400 µl 一抗稀释液。 4°C 孵育过夜。
    7. 去除抗体溶液,用洗涤缓冲液洗涤切片 3 次,每次 5 分钟。
    8. 用 1-3 滴所需的 HRPA 覆盖切片。 在加湿室中室温孵育 30 分钟。
    9. 用洗涤缓冲液洗涤切片 3 次,每次 5 分钟。
    10. 使用前将 DAB 显色剂浓缩液加入 DAB 稀释液中并充分混合。
    11. 在每个切片上涂抹 100–400 µl DAB 并密切监测。 1-10 分钟通常可提供可接受的染色强度。
    12. 将载玻片浸入 dH2O 中。
    13. 如果需要,用苏木精复染切片。
    14. 用 dH2O 清洗切片两次,每次 5 分钟。
    15. 切片脱水:95%乙醇孵育切片两次,每次 10 秒; 在 100% 乙醇中重复,孵育切片两次,每次 10 秒; 在二甲苯中重复,孵育切片两次,每次 10 秒。
    16. 用盖玻片和封固剂封固切片。
     

    Datasheet & SDS

    生物描述

    特异性

    Caspase-3 p12 Antibody [N15D21] 可检测内源性 Caspase-3 p12 总蛋白水平。该抗体识别全长的 caspase-3 以及 caspase-3 p12 片段。

    蛋白定位
    细胞质
    Uniprot ID
    P42574
    克隆号
    N15D21
    别名
    CPP32, CASP3, Caspase-3, CASP-3, Apopain, Cysteine protease CPP32, Protein Yama, SREBP cleavage activity 1, CPP-32, SCA-1
    背景

    Caspase-3 p12 是 caspase-3 的小亚基,caspase-3 是凋亡途径中的关键执行蛋白酶。Caspase-3 最初合成为无活性的 32 kDa 酶原 procaspase-3,其经蛋白酶水解后生成两个亚基:一个 17 kDa 的大亚基 (p17) 和一个 12 kDa 的小亚基 (p12)。这两个亚基结合形成一个活性异四聚体,能够通过裂解多种细胞底物来执行凋亡的最终阶段。caspase-3 的活性位点主要由 p17 亚基的催化残基组成,而 p12 亚基对于底物识别和稳定活性酶复合物至关重要。Caspase-3 优先裂解 P1 位含有天冬氨酸的底物,DEVD 序列是主要靶标。 Caspase-3 在细胞凋亡过程中起启动染色质凝聚、DNA 碎片化和细胞骨架结构分解的作用。其活性受多种机制严格调控:它最初合成时为无活性的酶原,由启动蛋白酶(如 Caspase-8 和 Caspase-9)激活,并被内源性调节剂或亚硝化等翻译后修饰抑制。活化后,caspase-3 转位至细胞核,这对于细胞凋亡的进展至关重要。caspase-3 活性失调与癌症和神经退行性疾病等疾病有关。

    参考文献
    • https://pubmed.ncbi.nlm.nih.gov/34342377/
    • https://pubmed.ncbi.nlm.nih.gov/17594508/

    技术支持

    在订购、运输、储存和使用我们的产品的任何阶段,您遇到的任何问题,均可以通过拨打我们的热线电话400-668-6834,或者技术支持邮箱tech@selleck.cn,直接联系到我们。我们会在24小时内尽快联系您。

    * 必填项

    请输入您的姓名
    请输入您的邮箱地址 请输入一个有效的邮箱地址
    请写点东西给我们
    在线咨询
    联系我们