Cdk7 Antibody [K16B2]

目录号: F4040

    抗体应用: 反应性:
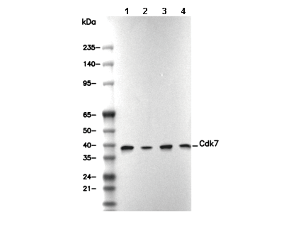
    • Lane 1: HeLa, Lane 2: HEK-293, Lane 3: RAW 264.7, Lane 4: C6
    规格 价格 库存 购买数量
    20uL 790 现货
    50uL 1240 现货
    100uL 1990 现货
    100uL*2 3790 现货

    400-668-6834

    info@selleck.cn

    操作要点

    WB
    湿转参考条件:200 mA, 60 min

    使用信息

    稀释比例
    1:1000
    1:30
    1:100
    1:50
    抗体应用
    WB, IP, IHC, FCM
    反应性
    Mouse, Rat, Human
    抗体类型
    Rabbit Monoclonal Antibody
    储存液配方
    PBS, pH 7.2+50% Glycerol+0.05% BSA+0.01% NaN3
    储存条件(自收到货起)
    -20°C (avoid freeze-thaw cycles), 2 years
    预测分子量
    实际分子量
    39 kDa
    39 kDa
    *为什么预测分子量和实际分子量会有不同?
    以下原因可能会导致蛋白分子量与预测不同:翻译后修饰(磷酸化/糖基化);剪接变体和异构体;相对电荷;多聚体。
    阳性对照 Mouse spleen tissue; Rat spleen tissue; Rat testis tissue; Mouse breast cancer tissue; Mouse testis tissue; HeLa cell; NIH/3T3 cell; HEK-293 cell; RAW 264.7 cell; C6 cell; HepG2 cell; HCT 116 cell; MEF cell
    阴性对照

    实验方法

    WB
    实验步骤:
     
    样品制备
    1. 组织样品:破碎组织,加入适量冰冷的 RIPA/NP-40 Lysis Buffer (含蛋白酶抑制剂Cocktail),低温匀浆。
    2. 贴壁细胞样品:吸去培养基, 用冰冷的 PBS 清洗细胞 2 遍。加入适量冰冷的 RIPA/NP-40 Lysis Buffer (含蛋白酶抑制剂Cocktail),冰上静置裂解 5 min。
    3. 悬浮细胞样品:将培养基转移至离心管中离心,弃上清,用冰冷的 PBS 清洗细胞 2 遍。加入适量冰冷的 RIPA/NP-40 Lysis Buffer (含蛋白酶抑制剂Cocktail),冰上静置裂解 5 min。
    4. 将所得匀浆液/裂解液置于离心机中 4°C 离心 15 min,收集上清液;
    5. 取少量裂解液测定蛋白质浓度;
    6. 加入蛋白上样缓冲液,将 20 µL样品在 95~100°C加热 5 min,冰上静置冷却后离心 5 min。
     
    电泳分离
    1. 根据所提蛋白的浓度,将适量蛋白样品和 Marker 上样至 SDS-PAGE 凝胶。建议分离胶(即下层胶)浓度:10 %。 SDS-PAGE 分离胶浓度选择参照表
    2. 电源调 80 V, 30 min。然后电源调 110 V~150 V,观察 Marker,待蛋白所在的预染蛋白 Marker 指示带得到合适的分离后,即可停止电泳。(注意电泳时电流切勿过大,如超过 150 mA 会导致温度上升,容易影响跑胶结果。如无法避免采用大电流,可对电泳槽使用冰浴降温。)
     
    转膜
    1.拿出电转槽,把夹子和耗材浸泡在预冷电转液中;
    2.用甲醇活化 PVDF 膜 1 min,用转移缓冲液冲洗;
    3.按照“夹子黑边-海绵-滤纸-滤纸-胶-PVDF膜-滤纸-滤纸-海绵-夹子白边”的顺序安装好;
    4.将蛋白电转移至 PVDF膜上。(推荐采用 0.45 µm PVDF 膜) PVDF 膜孔径规格选择参照表
    湿转法参考条件:200 mA, 60 min
    (注意电转条件可根据蛋白大小适当调节,分子量大的蛋白适宜采用大电流,并延长转膜时间,但需要确保电转槽始终处于低温的环境中,避免凝胶融化。)
     
    封闭
    1. 电转移后,室温下用 TBST 洗膜 5 min;
    2. 在封闭液中将膜孵育 1 h,室温;
    3. 用 TBST 洗膜 3 次,每次 5 min。
     
    抗体孵育
    1. 用 一抗稀释液配制一抗工作液(建议一抗稀释比 1:1000),4°C 条件下与膜轻柔摇晃孵育过夜;
    2. 用 TBST 洗膜 3 次,每次 5 min;
    3. 在封闭液中加入二抗,室温条件下与膜轻柔摇晃孵育 1 h;
    4. 孵育结束后,用 TBST 洗膜 3 次,每次 5 min。
     
    显色
    1. 加入配制好的 ECL 发光底物(或根据二抗选择其他显色基质)混合均匀;
    2. 与膜孵育1 min,去除多余底物(需保持膜湿润),置于显影仪中进行曝光。
     
    IHC
    实验步骤:
     
    脱蜡/补液
    1. 脱蜡/水合切片:
    2. 将切片在二甲苯中孵育 3 次,每次 5 分钟。
    3. 将切片在 100% 乙醇中孵育两次,每次 10 分钟。
    4. 将切片在 95% 乙醇洗涤液中孵育两次,每次 10 分钟。
    5. 用 dH2O 清洗切片两次,每次 5 分钟。
    6.抗原修复:对于柠檬酸盐:将载玻片浸入 1X 柠檬酸盐暴露溶液中,在微波炉中加热,直至开始沸腾; 在亚沸温度 (95°-98°C) 下继续煮 10 分钟。 在工作台上冷却玻片 30 分钟。
     
    染色
    1. 用 dH2O 清洗切片 3 次,每次 5 分钟。
    2. 将切片在 3% 过氧化氢中孵育 10 分钟。
    3. 用 dH2O 清洗切片两次,每次 5 分钟。
    4. 在洗涤缓冲液中洗涤切片 5 分钟。
    5. 用 100–400 µl 封闭液在室温下封闭每个切片 1 小时。
    6. 除去封闭液,并向每个切片中添加 100–400 µl 一抗稀释液。 4°C 孵育过夜。
    7. 去除抗体溶液,用洗涤缓冲液洗涤切片 3 次,每次 5 分钟。
    8. 用 1-3 滴所需的 HRPA 覆盖切片。 在加湿室中室温孵育 30 分钟。
    9. 用洗涤缓冲液洗涤切片 3 次,每次 5 分钟。
    10. 使用前将 DAB 显色剂浓缩液加入 DAB 稀释液中并充分混合。
    11. 在每个切片上涂抹 100–400 µl DAB 并密切监测。 1-10 分钟通常可提供可接受的染色强度。
    12. 将载玻片浸入 dH2O 中。
    13. 如果需要,用苏木精复染切片。
    14. 用 dH2O 清洗切片两次,每次 5 分钟。
    15. 切片脱水:95%乙醇孵育切片两次,每次 10 秒; 在 100% 乙醇中重复,孵育切片两次,每次 10 秒; 在二甲苯中重复,孵育切片两次,每次 10 秒。
    16. 用盖玻片和封固剂封固切片。
     

    Datasheet & SDS

    生物描述

    特异性
    Cdk7 Antibody [K16B2] 可检测内源性 Cdk7 总蛋白水平。
    蛋白定位
    细胞质,细胞核
    Uniprot ID
    P50613
    克隆号
    K16B2
    别名
    CAK, CAK1, CDKN7, MO15, STK1, CDK7, Cyclin-dependent kinase 7, 39 kDa protein kinase, CDK-activating kinase 1, Cell division protein kinase 7, Serine/threonine-protein kinase 1, TFIIH basal transcription factor complex kinase subunit, p39 Mo15
    背景
    细胞周期依赖性激酶 7 (CDK7) 是一种关键激酶,具有双重功能,对细胞周期调控和转录调控至关重要。CDK7 与细胞周期蛋白 H 和 MAT1 形成活性复合物,统称为 CDK 活化激酶 (CAK) 复合物。该复合物磷酸化并激活多个关键的细胞周期依赖性激酶 (CDK),例如 CDK1、CDK2、CDK4 和 CDK6,从而促进细胞周期 G1、S、G2 和 M 期的有序进展。CDK7 具有典型的激酶折叠,并带有一个活化片段(T 环),其中保守残基(Thr170 和 Ser164)的双重磷酸化会调节其激酶活性和底物特异性。 CDK7 也是通用转录因子 TFIIH 的重要组成部分,它能够磷酸化 RNA 聚合酶 II 的 C 末端结构域 (CTD) 的 Ser5 和 Ser7 位点,从而促进转录起始、启动子近端暂停、延伸、RNA 加工和染色质修饰。CDK7 活性的调节通过其自身和细胞周期蛋白 H 的磷酸化、与 MAT1 的复合物组装以及与转录机制和其他 CDK(例如 CDK9)的相互作用来实现。CDK7 失调会导致癌症进展。
    参考文献
    • https://pubmed.ncbi.nlm.nih.gov/40223539/
    • https://pubmed.ncbi.nlm.nih.gov/39097586/

    技术支持

    在订购、运输、储存和使用我们的产品的任何阶段,您遇到的任何问题,均可以通过拨打我们的热线电话400-668-6834,或者技术支持邮箱tech@selleck.cn,直接联系到我们。我们会在24小时内尽快联系您。

    * 必填项

    请输入您的姓名
    请输入您的邮箱地址 请输入一个有效的邮箱地址
    请写点东西给我们
    在线咨询
    联系我们