COPS3/CSN3 Antibody [F5P19]

目录号: F3670

    抗体应用: 反应性:
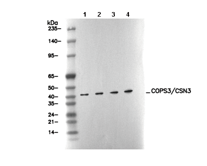
    • Lane 1: HT-29, Lane 2: Hela, Lane 3: SKBR-3, Lane 4: 293T
    • Immunofluorescent analysis of Hela cells using F3670 (green, 1:500), Hoechst (blue) and tubulin (Red).
    规格 价格 库存 购买数量
    20uL 790 现货
    50uL 1240 现货
    100uL 1990 现货
    100uL*2 3790 现货

    400-668-6834

    info@selleck.cn

    操作要点

    WB
    建议一抗稀释比: 1:10000
    建议曝光 60s 以上

    使用信息

    稀释比例
    1:10000 - 1:20000
    1:250 - 1:500
    1:20 - 1:100
    抗体应用
    WB, IF, FCM
    反应性
    Human
    抗体类型
    Rabbit Monoclonal Antibody
    储存液配方
    PBS, pH 7.2+50% Glycerol+0.05% BSA+0.01% NaN3
    储存条件(自收到货起)
    -20°C (avoid freeze-thaw cycles), 2 years
    预测分子量
    48 kDa
    阳性对照 HT-29 cell; HeLa cell; SKBR-3 cell; 293T cell
    阴性对照

    实验方法

    WB
    实验步骤:
     
    样品制备
    1. 组织样品:破碎组织,加入适量冰冷的 RIPA/Nuclear Lysis Buffer (含蛋白酶抑制剂Cocktail),低温匀浆。
    2. 贴壁细胞样品:吸去培养基, 用冰冷的 PBS 清洗细胞 2 遍。加入适量冰冷的 RIPA/Nuclear Lysis Buffer (含蛋白酶抑制剂Cocktail),冰上静置裂解 5 min。
    3. 悬浮细胞样品:将培养基转移至离心管中离心,弃上清,用冰冷的 PBS 清洗细胞 2 遍。加入适量冰冷的 RIPA/Nuclear Lysis Buffer (含蛋白酶抑制剂Cocktail),冰上静置裂解 5 min。
    4. 将所得匀浆液/裂解液置于离心机中 4°C 离心 15 min,收集上清液;
    5. 取少量裂解液测定蛋白质浓度;
    6. 加入蛋白上样缓冲液,将 20 µL样品在 95~100°C加热 5 min,冰上静置冷却后离心 5 min。
     
    电泳分离
    1. 根据所提蛋白的浓度,将适量蛋白样品和 Marker 上样至 SDS-PAGE 凝胶。建议分离胶(即下层胶)浓度:10 %。 SDS-PAGE 分离胶浓度选择参照表
    2. 电源调 80 V, 30 min。然后电源调 110 V~150 V,观察 Marker,待蛋白所在的预染蛋白 Marker 指示带得到合适的分离后,即可停止电泳。(注意电泳时电流切勿过大,如超过 150 mA 会导致温度上升,容易影响跑胶结果。如无法避免采用大电流,可对电泳槽使用冰浴降温。)
     
    转膜
    1.拿出电转槽,把夹子和耗材浸泡在预冷电转液中;
    2.用甲醇活化 PVDF 膜 1 min,用转移缓冲液冲洗;
    3.按照“夹子黑边-海绵-滤纸-滤纸-胶-PVDF膜-滤纸-滤纸-海绵-夹子白边”的顺序安装好;
    4.将蛋白电转移至 PVDF膜上。(推荐采用 0.45 µm PVDF 膜) PVDF 膜孔径规格选择参照表
    湿转法参考条件:200 mA, 120 min
    (注意电转条件可根据蛋白大小适当调节,分子量大的蛋白适宜采用大电流,并延长转膜时间,但需要确保电转槽始终处于低温的环境中,避免凝胶融化。)
     
    封闭
    1. 电转移后,室温下用 TBST 洗膜 5 min;
    2. 在封闭液中将膜孵育 1 h,室温;
    3. 用 TBST 洗膜 3 次,每次 5 min。
     
    抗体孵育
    1. 用 一抗稀释液配制一抗工作液(建议一抗稀释比 1:10000),4°C 条件下与膜轻柔摇晃孵育过夜;
    2. 用 TBST 洗膜 3 次,每次 5 min;
    3. 在封闭液中加入二抗,室温条件下与膜轻柔摇晃孵育 1 h;
    4. 孵育结束后,用 TBST 洗膜 3 次,每次 5 min。
     
    显色
    1. 加入配制好的 ECL 发光底物(或根据二抗选择其他显色基质)混合均匀;
    2. 与膜孵育1 min,去除多余底物(需保持膜湿润),置于显影仪中进行曝光。(建议曝光时长 60s 以上)
     
    IF
    实验步骤:
     
    标本制备
    1. 吸出液体,然后用 1X PBS 稀释的 4% 多聚甲醛覆盖细胞至 2-3 mm 的深度。
    注意:多聚甲醛有毒,只能在通风橱中使用。
    2. 室温固定细胞 15 分钟。
    3. 吸出固定液,用 1X PBS 冲洗 3 次,每次 5 分钟。
    4. 继续进行免疫染色。
     
    免疫染色
    1. 添加封闭缓冲液并在室温下孵育 60 分钟。
    2. 按照建议在抗体稀释缓冲液中制备一抗稀释液。
    3. 吸出封闭液,加入制备好的一抗稀释液。
    4. 4°C 孵育过夜。
    5. 在 1X PBS 中冲洗 3 次,每次 5 分钟。
    6. 将样本放入用抗体稀释缓冲液稀释的荧光染料偶联二抗中,室温避光孵育 1-2 小时。
    7. 在 1X PBS 中冲洗 3 次,每次 5 分钟。
    8. 使用带有 DAPI 的封固剂封固载玻片并盖上盖玻片。
    9. 为获得最佳效果,请让封固剂在室温下固化过夜。 如需长期保存,请将载玻片平放在 23°C 避光保存。
     
    IF
    实验步骤:
    样品准备
    1. 贴壁细胞:取洁净无菌盖玻片置于培养皿中,待细胞接近长成单层后取出盖玻片。
    2. 悬浮细胞:将细胞接种至多聚赖氨酸包被的洁净无菌载玻片上。
    3. 冰冻切片:将玻片置于室温下解冻,纯水或 PBS 摇洗 3次,每次 3 min。
    4. 石蜡切片:先将玻片脱蜡至水,纯水或 PBS 摇洗 3次,每次 3 min。然后进行抗原修复。
     
    固定
    1. 使用固定液,如4%多聚甲醛(4% PFA)室温固定细胞爬片/涂片或组织切片 10~15 min。
    2. 使用 PBS 摇洗样品 3次,每次 3 min。
     
    通透
    1. 对样品添加去垢剂,如 0.1~0.3% Triton X-100,室温通透 10~20 min。
    (仅针对胞内抗原,若是细胞膜上表达的抗原则可省略该步骤。)
    2. 使用 PBS 摇洗样品 3次,每次 3 min。
     
    封闭
    添加封闭液,在室温下封闭至少 1 h。(常用的封闭液包括:与二抗同一来源的血清、BSA或山羊血清。)
    注意事项:从封闭开始之后的所有步骤务必保证样品湿润,避免干燥,否则极易产生高背景。
     
    免疫荧光染色(第一天)
    1. 吸走封闭液,滴加稀释后的一抗。
    2. 湿盒中 4°C 孵育过夜。
     
    免疫荧光染色(第二天)
    1. 吸走一抗,PBST 摇洗 3 次,每次 5 min。
    2. 滴加稀释后的荧光二抗,避光 4°C 孵育 1~2 h。
    3. 吸走二抗,PBST 摇洗 3 次,每次 5 min。
    4. 滴加稀释后的 DAPI,室温避光 孵育 5~10 min。
    5. PBST 中摇洗 3 次,每次 5 分钟。
     
    封片
    1. 抗荧光淬灭封片剂封片。
    2. 干燥玻片,将玻片置于室温下避光过夜。
    3. 将载玻片放入玻片盒中 4°C 避光保存。
     

    Datasheet & SDS

    生物描述

    特异性

    COPS3/CSN3 Antibody [F5P19] 可检测内源性 COPS3/CSN3 总蛋白水平。

    蛋白定位
    细胞质,细胞核
    Uniprot ID
    Q9UNS2
    克隆号
    F5P19
    别名
    CSN3, COPS3, COP9 signalosome complex subunit 3, SGN3, Signalosome subunit 3, JAB1-containing signalosome subunit 3
    背景
    COPS3,又称CSN3,是高度保守的COP9信号体(CSN)复合体的第三个亚基,该复合体属于含PCI(蛋白酶体,COP9信号体,起始因子3)结构域的蛋白家族,由8个亚基(CSN1~CSN8)组成。CSN复合体是泛素-蛋白酶体系统的中枢调控因子,主要通过介导SCF型E3泛素连接酶复合体中cullin亚基的去甲基化,从而控制其泛素连接酶活性,影响多种细胞蛋白的靶向降解。结构上,CSN3和其他PCI亚基均呈球状折叠,具有螺旋重复序列、连接螺旋和C端PCI结构域,该结构域对亚基相互作用和复合体的组装至关重要; CSN3 的 PCI 结构域位于 CSN 的枢纽位置,有助于与其他亚基和底物复合物(例如 SCF)的接触。CSN3 也可作为复合物介导磷酸化的对接位点,CSN 复合物具有激酶活性,可磷酸化 IκBα、p105 和 c-Jun 等调节蛋白,从而影响 NF-κB 和 AP-1 等关键信号转导通路。通过这些机制,CSN 复合物通过 CSN3 调节蛋白质稳定性、亚细胞定位,参与 DNA 损伤反应,并对维持细胞稳态至关重要。CSN3 的缺失会破坏整个 COP9 信号体的完整性,并在模型生物中导致胚胎致死。CSN3 位于人类 17 号染色体的 Smith-Magenis 综合征区域内,该基因的突变或缺失与发育障碍有关。
    参考文献
    • https://pubmed.ncbi.nlm.nih.gov/23818606/
    • https://pubmed.ncbi.nlm.nih.gov/12972600/

    技术支持

    在订购、运输、储存和使用我们的产品的任何阶段,您遇到的任何问题,均可以通过拨打我们的热线电话400-668-6834,或者技术支持邮箱tech@selleck.cn,直接联系到我们。我们会在24小时内尽快联系您。

    * 必填项

    请输入您的姓名
    请输入您的邮箱地址 请输入一个有效的邮箱地址
    请写点东西给我们
    在线咨询
    联系我们