Ctip2 Antibody [B24H14]

目录号: F0021

    本抗体需使用抗大鼠二抗。

    抗体应用: 反应性:
    • Lane 1: Jurkat
    • Immunofluorescent analysis of Jurkat cells using F0021 (green, 1:500), Hoechst (blue) and tubulin (Red).
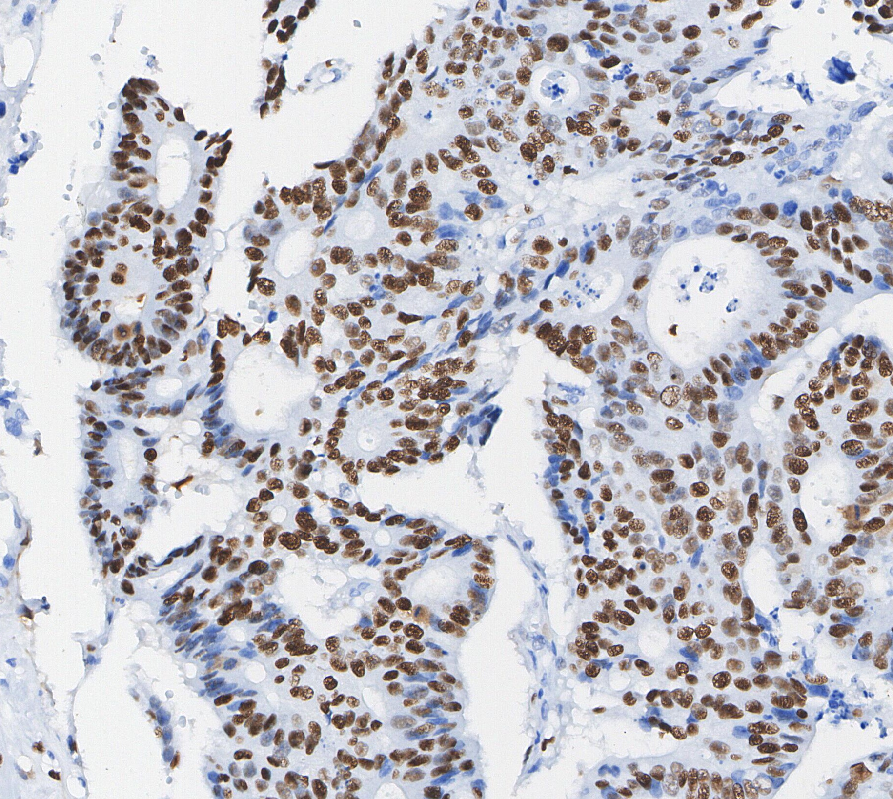
    • Immunohistochemical analysis of formalin fixed paraffin embedded human Colorectal cancer tissue with F0021 at 1/200 dilution.
    1/
    规格 价格 库存 购买数量
    20ul 790 现货
    50uL 1240 现货
    100ul 1990 现货
    100uL*2 3790 现货

    400-668-6834

    info@selleck.cn

    操作要点

    本抗体需使用抗大鼠二抗。

    WB
    注:A6000 HRP Goat Anti-Rat IgG Secondary Ab只可用于WB和ELISA实验。

    使用信息

    稀释比例
    1:1000
    1:100 - 1:500
    1:500
    抗体应用
    WB, IHC, IF , FCM
    反应性
    Human, Mouse
    抗体类型
    Rat Monoclonal Antibody
    储存液配方
    PBS, pH 7.2+50% Glycerol+0.05% BSA+0.01% NaN₃
    储存条件(自收到货起)
    –20°C (avoid freeze-thaw cycles), 2 years
    预测分子量
    实际分子量
    95 kDa
    100 kDa,110 kDa
    *为什么预测分子量和实际分子量会有不同?
    以下原因可能会导致蛋白分子量与预测不同:翻译后修饰(磷酸化/糖基化);剪接变体和异构体;相对电荷;多聚体。
    阳性对照 Jurkat; Neonatal mouse hippocampal neuron; Mouse hippocampus; Human hippocampus; Mouse brain
    阴性对照 Mouse cerebellum; Human cerebellum

    实验方法

    WB
    实验步骤:
     
    样品制备
    1. 组织样品:破碎组织,加入适量冰冷的 RIPA/Nuclear Lysis Buffer (含蛋白酶抑制剂Cocktail),低温匀浆或置于冰上超声裂解样品,静置30 min。
    2. 贴壁细胞样品:吸去培养基, 将细胞转移至EP管中。用冰冷的 PBS 清洗细胞 2 遍。加入适量冰冷的 RIPA/Nuclear Lysis Buffer (含蛋白酶抑制剂Cocktail),超声破碎,冰上静置裂解 30 min。冰上静置裂解 5 min。
    3. 悬浮细胞样品:将培养基转移至离心管中离心,弃上清,用冰冷的 PBS 清洗细胞 2 遍。加入适量冰冷的 RIPA/Nuclear Lysis Buffer (含蛋白酶抑制剂Cocktail),冰上静置裂解 5 min。
    4. 将所得匀浆液/裂解液置于离心机中 4°C 离心 15 min,收集上清液;
    5. 取少量裂解液测定蛋白质浓度;
    6. 加入蛋白上样缓冲液,将 20 µL样品在 95~100°C加热 5 min,冰上静置冷却后离心 5 min。
     
    电泳分离
    1. 根据所提蛋白的浓度,将适量蛋白样品和 Marker 上样至 SDS-PAGE 凝胶。建议分离胶(即下层胶)浓度:10 %。 SDS-PAGE 分离胶浓度选择参照表
    2. 电源调 80 V, 30 min。然后电源调 110 V~150 V,观察 Marker,待蛋白所在的预染蛋白 Marker 指示带得到合适的分离后,即可停止电泳。(注意电泳时电流切勿过大,如超过 150 mA 会导致温度上升,容易影响跑胶结果。如无法避免采用大电流,可对电泳槽使用冰浴降温。)
     
    转膜
    1.拿出电转槽,把夹子和耗材浸泡在预冷电转液中;
    2.用甲醇活化 PVDF 膜 1 min,用转移缓冲液冲洗;
    3.按照“夹子黑边-海绵-滤纸-滤纸-胶-PVDF膜-滤纸-滤纸-海绵-夹子白边”的顺序安装好;
    4.将蛋白电转移至 PVDF膜上。(推荐采用 0.45 µm PVDF 膜) PVDF 膜孔径规格选择参照表
    湿转法参考条件:200 mA, 120 min
    (注意电转条件可根据蛋白大小适当调节,分子量大的蛋白适宜采用大电流,并延长转膜时间,但需要确保电转槽始终处于低温的环境中,避免凝胶融化。)
     
    封闭
    1. 电转移后,室温下用 TBST 洗膜 5 min;
    2. 在封闭液中将膜孵育 1 h,室温;
    3. 用 TBST 洗膜 3 次,每次 5 min。
     
    抗体孵育
    1. 用 一抗稀释液配制一抗工作液(建议一抗稀释比 1:1000),4°C 条件下与膜轻柔摇晃孵育过夜;
    2. 用 TBST 洗膜 3 次,每次 5 min;
    3. 在封闭液中加入二抗,室温条件下与膜轻柔摇晃孵育 1 h;
    4. 孵育结束后,用 TBST 洗膜 3 次,每次 5 min。
     
    显色
    1. 加入配制好的 ECL 发光底物(或根据二抗选择其他显色基质)混合均匀;
    2. 与膜孵育1 min,去除多余底物(需保持膜湿润),置于显影仪中进行曝光。
     
    IF
    实验步骤:
     
    标本制备
    1. 吸出液体,然后用 1X PBS 稀释的 4% 多聚甲醛覆盖细胞至 2-3 mm 的深度。
    注意:多聚甲醛有毒,只能在通风橱中使用。
    2. 室温固定细胞 15 分钟。
    3. 吸出固定液,用 1X PBS 冲洗 3 次,每次 5 分钟。
    4. 继续进行免疫染色。
     
    免疫染色
    1. 添加封闭缓冲液并在室温下孵育 60 分钟。
    2. 按照建议在抗体稀释缓冲液中制备一抗稀释液。
    3. 吸出封闭液,加入制备好的一抗稀释液。
    4. 4°C 孵育过夜。
    5. 在 1X PBS 中冲洗 3 次,每次 5 分钟。
    6. 将样本放入用抗体稀释缓冲液稀释的荧光染料偶联二抗中,室温避光孵育 1-2 小时。
    7. 在 1X PBS 中冲洗 3 次,每次 5 分钟。
    8. 使用带有 DAPI 的封固剂封固载玻片并盖上盖玻片。
    9. 为获得最佳效果,请让封固剂在室温下固化过夜。 如需长期保存,请将载玻片平放在 4°C 避光保存。
     
    IHC
    实验步骤:
     
    脱蜡/补液
    1. 脱蜡/水合切片:
    2. 将切片在二甲苯中孵育 3 次,每次 5 分钟。
    3. 将切片在 100% 乙醇中孵育两次,每次 10 分钟。
    4. 将切片在 95% 乙醇洗涤液中孵育两次,每次 10 分钟。
    5. 用 dH2O 清洗切片两次,每次 5 分钟。
    6.抗原修复:对于柠檬酸盐:将载玻片浸入 1X 柠檬酸盐暴露溶液中,在微波炉中加热,直至开始沸腾; 在亚沸温度 (95°-98°C) 下继续煮 10 分钟。 在工作台上冷却玻片 30 分钟。
     
    染色
    1. 用 dH2O 清洗切片 3 次,每次 5 分钟。
    2. 将切片在 3% 过氧化氢中孵育 10 分钟。
    3. 用 dH2O 清洗切片两次,每次 5 分钟。
    4. 在洗涤缓冲液中洗涤切片 5 分钟。
    5. 用 100–400 µl 封闭液在室温下封闭每个切片 1 小时。
    6. 除去封闭液,并向每个切片中添加 100–400 µl 一抗稀释液。 4°C 孵育过夜。
    7. 去除抗体溶液,用洗涤缓冲液洗涤切片 3 次,每次 5 分钟。
    8. 用 1-3 滴所需的 HRPA 覆盖切片。 在加湿室中室温孵育 30 分钟。
    9. 用洗涤缓冲液洗涤切片 3 次,每次 5 分钟。
    10. 使用前将 DAB 显色剂浓缩液加入 DAB 稀释液中并充分混合。
    11. 在每个切片上涂抹 100–400 µl DAB 并密切监测。 1-10 分钟通常可提供可接受的染色强度。
    12. 将载玻片浸入 dH2O 中。
    13. 如果需要,用苏木精复染切片。
    14. 用 dH2O 清洗切片两次,每次 5 分钟。
    15. 切片脱水:95%乙醇孵育切片两次,每次 10 秒; 在 100% 乙醇中重复,孵育切片两次,每次 10 秒; 在二甲苯中重复,孵育切片两次,每次 10 秒。
    16. 用盖玻片和封固剂封固切片。
     

    Datasheet & SDS

    生物描述

    特异性

    Ctip2 Antibody [B24H14] 可检测到约 120kD 处的两个代表 Ctip2 的条带。Ctip2 在脑组织以及成人T细胞白血病/淋巴瘤患者来源的恶性T细胞系中高表达。

    蛋白定位
    细胞核
    Uniprot ID
    Q9C0K0
    克隆号
    B24H14
    别名
    Bcl-11B,Ctip2
    背景

    Ctip2(也称为 Bcl11b)是一种转录因子,在介导中棘神经元 (MSN) 分化和纹状体发育中发挥核心作用。 具体来说,转录因子 COUP TF1 相互作用蛋白 2 (CTIP2) 对于大脑皮层中的脑下投射神经元的轴突延伸和寻路至关重要。 在纹状体中,Ctip2 在 MSN 中表现出独特的表达模式,从早期有丝分裂阶段开始有效地标记这一关键的神经元群体。 Ctip2功能的丧失会导致MSN分化受损、MSN群体内的斑块基质组织破坏以及各种基因表达的显着改变,包括斑块区室的新分子标记。

    参考文献
    • https://pubmed.ncbi.nlm.nih.gov/18199763/

    技术支持

    在订购、运输、储存和使用我们的产品的任何阶段,您遇到的任何问题,均可以通过拨打我们的热线电话400-668-6834,或者技术支持邮箱tech@selleck.cn,直接联系到我们。我们会在24小时内尽快联系您。

    * 必填项

    请输入您的姓名
    请输入您的邮箱地址 请输入一个有效的邮箱地址
    请写点东西给我们
    在线咨询
    联系我们