Cabozantinib (XL184)

别名: BMS-907351 中文名称:卡博替尼

Cabozantinib是一种有效的VEGFR2抑制剂,在无细胞试验中IC50为0.035 nM,也能有效抑制c-Met、 Ret、 Kit、Flt-1/3/4、Tie2和AXL,IC50分别为1.3 nM,4 nM,4.6 nM,12 nM/11.3 nM/6 nM,14.3 nM 和 7 nM。Cabozantinib 在结肠癌细胞中可通过AKT/GSK-3β/NF-κB信号通路诱导PUMA依赖的凋亡。

Cabozantinib (XL184) Chemical Structure

Cabozantinib (XL184) Chemical Structure

CAS: 849217-68-1

规格 价格 库存 购买数量
10mM (1mL in DMSO) 1056.51 现货
5mg 771.75 现货
50mg 2467.5 现货
200mg 5234.25 现货
1g 10342.5 现货
更大包装 有超大折扣

400-668-6834

info@selleck.cn

免费分装
免费预溶

Cabozantinib (XL184)相关产品

相关信号通路图

细胞实验数据示例

细胞系 实验类型 给药浓度 孵育时间 活性描述 文献信息(PMID)
BAF3 Function assay 0.01 to 10 uM 1 hr Inhibition of TEL-fused wild type Ret (unknown origin) phosphorylation at Y1062/Y905 expressed in mouse BAF3 cells at 0.01 to 10 uM after 1 hr by Western blot analysis 26652860
BAF3 Function assay 0.01 to 10 uM 1 hr Inhibition of TEL-fused Ret S891A mutant (unknown origin) phosphorylation at Y1062/Y905 expressed in mouse BAF3 cells at 0.01 to 10 uM after 1 hr by Western blot analysis 26652860
BAF3 Function assay 0.01 to 10 uM 1 hr Inhibition of TEL-fused Ret S891A mutant (unknown origin) expressed in mouse BAF3 cells assessed as suppression of phosphorylation of PLCgamma at Y783 at 0.01 to 10 uM after 1 hr by Western blot analysis 26652860
BAF3 Function assay 0.01 to 10 uM 1 hr Inhibition of TEL-fused Ret S891A mutant (unknown origin) expressed in mouse BAF3 cells assessed as suppression of phosphorylation of Shc at Y317 at 0.01 to 10 uM after 1 hr by Western blot analysis 26652860
TT Function assay 1 to 10 uM 4 hrs Inhibition of RET C634W mutant in human TT cells assessed as suppression of PLCgamma phosphorylation at Y783 at 1 to 10 uM after 4 hrs by Western blot analysis 26652860
TT Function assay 1 to 10 uM 4 hrs Inhibition of RET C634W mutant in human TT cells assessed as suppression of ERK phosphorylation at T202/Y204 at 1 to 10 uM after 4 hrs by Western blot analysis 26652860
TT Function assay 1 to 10 uM 4 hrs Inhibition of RET C634W mutant in human TT cells assessed as suppression of AKT phosphorylation at T308/S473 at 1 to 10 uM after 4 hrs by Western blot analysis 26652860
TT Function assay 1 uM 4 hrs Inhibition of autophosphorylation of RET C634W mutant at Y1062 in human TT cells at 1 uM after 4 hrs by Western blot analysis 26652860
TT Apoptosis assay 1 uM 96 hrs Induction of apoptosis in human TT cells expressing Ret C634W mutant at 1 uM after 96 hrs by annexinV/PI staining-based flow cytometric analysis 26652860
A549 Cytotoxicity assay 10 uM 72 hrs Cytotoxicity against human A549 cells at 10 uM after 72 hrs by Incucyte live-cell imaging analysis 29407963
E98NT  Growth Inhibition Assay 0.01-10 μM IC50=89 nM 23484006
TT Function assay 1 uM Inhibition of Ret-driven oncogenic transformation of human TT cells at 1 uM by soft agar assay 26652860
BaF3 Growth inhibition assay 48 hrs Inhibition of TEL-fused Ret S891A mutant (unknown origin) expressed in mouse BaF3 cells assessed as cell growth inhibition after 48 hrs by MTT assay, GI50 = 0.01 μM. 26652860
BA/F3 Growth inhibition assay 48 hrs Inhibition of wild type TEL-fused RET (unknown origin) expressed in mouse BA/F3 cells assessed as cell growth inhibition after 48 hrs by MTT assay, GI50 = 0.05 μM. 26652860
TT Growth inhibition assay 10 days Inhibition of RET C634W mutant in human TT cells assessed as cell growth inhibition after 10 days by MTT assay, GI50 = 0.12 μM. 26652860
BA/F3 Growth inhibition assay 48 hrs Inhibition of TEL-fused Ret V804M mutant (unknown origin) expressed in mouse BA/F3 cells assessed as cell growth inhibition after 48 hrs by MTT assay, GI50 = 0.89 μM. 26652860
BaF3 Growth inhibition assay 48 hrs Inhibition of TEL-fused Ret V804L mutant (unknown origin) expressed in mouse BaF3 cells assessed as cell growth inhibition after 48 hrs by MTT assay, GI50 = 0.91 μM. 26652860
Nthy-ori 3-1 Cytotoxicity assay 10 days Cytotoxicity against human Nthy-ori 3-1 cells after 10 days by MTT assay, GI50 = 4.93 μM. 26652860
TT Function assay 4 hrs Inhibition of autophosphorylation of RET C634W mutant at Y905 in human TT cells at 1 uM after 4 hrs by Western blot analysis 26652860
PC3 Function assay 1 to 3 hrs Inhibition of c-Met phosphorylation in human PC3 cells incubated for 1 to 3 hrs, IC50 = 1.9 μM. 26717201
MDA-MB-231 Function assay 1 to 3 hrs Inhibition of AXL phosphorylation in human MDA-MB-231 cells incubated for 1 to 3 hrs, IC50 = 5 μM. 26717201
BAF3 Function assay 1 to 3 hrs Inhibition of FLT3 (unknown origin) phosphorylation transfected in mouse BAF3 cells incubated for 1 to 3 hrs, IC50 = 7.5 μM. 26717201
MDA-MB-231 Function assay 1 to 3 hrs Inhibition of KIT (unknown origin) phosphorylation transfected in human MDA-MB-231 cells incubated for 1 to 3 hrs, IC50 = 42 μM. 26717201
BA/F3 Function assay 48 hrs Inhibition of KDR (unknown origin) expressed in mouse BA/F3 cells assessed as reduction in cell viability after 48 hrs by Cell titre glo-based luminescence assay, IC50 = 0.014 μM. 26874741
Sf21 Function assay 15 mins Inhibition of recombinant His-tagged human KDR expressed in insect Sf21 cells preincubated for 15 mins followed by substrate addition measured after 20 mins by HTRF assay, IC50 = 0.016 μM. 26874741
BA/F3 Function assay 48 hrs Inhibition of KIF5B/RET (unknown origin) expressed in mouse BA/F3 cells assessed as reduction in cell viability after 48 hrs by Cell titre glo-based luminescence assay, IC50 = 0.19 μM. 26874741
BA/F3 Function assay 48 hrs Inhibition of KIF5B/RET (unknown origin) expressed in mouse BA/F3 cells assessed as reduction in cell viability after 48 hrs by Cell titre glo-based luminescence assay, IC50 = 0.19 μM. 26874741
BA/F3 Antiproliferative assay 72 hrs Antiproliferative activity against mouse BA/F3 cells expressing TPR-Met after 72 hrs by CCK8 assay, IC50 = 0.0219 μM. 27068889
Sf21 Function assay 60 mins Inhibition of wild type N-terminal GST-tagged recombinant human RET (658 residues) expressed in insect Sf21 cells using poly(Glu,Tyr)4:1 as substrate incubated for 60 mins by ELISA, IC50 = 0.003 μM. 27131066
Sf21 Function assay 60 mins Inhibition of N-terminal GST-tagged recombinant human RET V804M mutant (658 residues) expressed in insect Sf21 cells using poly(Glu,Tyr)4:1 as substrate incubated for 60 mins by ELISA, IC50 = 0.811 μM. 27131066
BaF3 Function assay 72 hrs Inhibition of CCDC6-RET (unknown origin) expressed in mouse BaF3 cells assessed as inhibition of cell proliferation after 72 hrs by SRB/CCK-8 assay, IC50 = 0.889 μM. 27131066
BaF3 Function assay 72 hrs Inhibition of CCDC6-RET (unknown origin) expressed in mouse BaF3 cells assessed as inhibition of cell proliferation after 72 hrs by SRB/CCK-8 assay, IC50 = 0.889 μM. 27131066
HepG2 Antiproliferative assay 72 hrs Antiproliferative activity against human HepG2 cells after 72 hrs by MTT assay, IC50 = 0.012 μM. 28412159
EBC1 Antiproliferative assay 72 hrs Antiproliferative activity against human EBC1 cells after 72 hrs by MTT assay, IC50 = 0.0514 μM. 28412159
H1299 Growth inhibition assay 72 hrs Growth inhibition of human H1299 cells incubated for 72 hrs by CCK8 assay, IC50 = 1.919 μM. 28651979
MCF7 Growth inhibition assay 72 hrs Growth inhibition of human MCF7 cells incubated for 72 hrs by CCK8 assay, IC50 = 2.889 μM. 28651979
A549 Growth inhibition assay 72 hrs Growth inhibition of human A549 cells incubated for 72 hrs by CCK8 assay, IC50 = 4.205 μM. 28651979
T47D Growth inhibition assay 72 hrs Growth inhibition of human T47D cells incubated for 72 hrs by CCK8 assay, IC50 = 4.448 μM. 28651979
H460 Growth inhibition assay 72 hrs Growth inhibition of human H460 cells incubated for 72 hrs by CCK8 assay, IC50 = 5.669 μM. 28651979
HuH7 Antiproliferative assay 48 hrs Antiproliferative activity against human HuH7 cells after 48 hrs by MTT assay, IC50 = 4.348 μM. 29057042
A498 Antiproliferative assay 48 hrs Antiproliferative activity against human A498 cells after 48 hrs by MTT assay, IC50 = 8.456 μM. 29057042
NCI-H727 Antiproliferative assay 48 hrs Antiproliferative activity against human NCI-H727 cells after 48 hrs by MTT assay, IC50 = 14.01 μM. 29057042
BAF3 Antiproliferative assay 72 hrs Antiproliferative activity against mouse BAF3 cells harboring TRP-MET after 72 hrs by CCK-8 assay, IC50 = 0.024 μM. 29146452
EBC1 Antiproliferative assay 72 hrs Antiproliferative activity against human EBC1 cells after 72 hrs by MTT assay, IC50 = 0.0048 μM. 30248654
MKN45 Antiproliferative assay 72 hrs Antiproliferative activity against human MKN45 cells after 72 hrs by MTT assay, IC50 = 0.0069 μM. 30248654
SNU5 Antiproliferative assay 72 hrs Antiproliferative activity against human SNU5 cells after 72 hrs by MTT assay, IC50 = 0.0121 μM. 30248654
BAF3 Function assay 72 hrs Inhibition of TPR-tagged met (unknown origin) expressed in mouse BAF3 cells assessed as inhibition of cell proliferation after 72 hrs by MTT assay, IC50 = 0.01986 μM. 30248654
NCI-H460 Antiproliferative assay 72 hrs Antiproliferative activity against human NCI-H460 cells after 72 hrs by MTT assay, IC50 = 0.0401 μM. 30248654
MGHU3 Antiproliferative assay 72 hrs Antiproliferative activity against human MGHU3 cells after 72 hrs by CellTiter-Glo assay 30309671
RT112 Antiproliferative assay 72 hrs Antiproliferative activity against human RT112 cells after 72 hrs by CellTiter-Glo assay 30309671
MDA-MB-231 Growth Inhibition Assay IC50= 6421 nM 21926191
SNU-16 Growth Inhibition Assay IC50=1149 nM 21926191
SNU-1  Growth Inhibition Assay IC50=5223 nM 21926191
Hs746T  Growth Inhibition Assay IC50=9.9 nM 21926191
SNU-5  Growth Inhibition Assay IC50= 19 nM 21926191
U87MG Growth Inhibition Assay IC50=1851 nM 21926191
H441  Growth Inhibition Assay IC50=21700 nM 21926191
H69 Growth Inhibition Assay IC50=20200 nM 21926191
PC3 Growth Inhibition Assay IC50=10800 nM 21926191
MTC-TT Growth Inhibition Assay IC50=0.04 + 0.03 μM 21470995
MZ-CRC Growth Inhibition Assay IC50> 5 μM 21470995
TPC-1 Growth Inhibition Assay IC50=0.06 + 0.02 μM 21470995
NIH-3T3/TPR-Met Function assay Inhibition of cell proliferation in mouse NIH-3T3/TPR-Met cells, IC50 = 1 μM. 24996144
BA/F3 Growth inhibition assay Inhibition of TEL-fused VEGFR2 (unknown origin) expressed in mouse BA/F3 cells assessed as cell growth inhibition, GI50 = 0.003 μM. 26652860
Ba/F3 Function assay Inhibition of RET (unknown origin) transfected in mouse Ba/F3 cells assessed as reduction in cell viability by CellTiter-Glo luminescence assay, GI50 = 0.07 μM. 27814560
TT Function assay Inhibition of RET C634W mutant in human TT cells assessed as reduction in cell viability by CellTiter-Glo luminescence assay, GI50 = 0.26 μM. 27814560
Ba/F3 Function assay Inhibition of RET V804M mutant (unknown origin) transfected in mouse Ba/F3 cells assessed as reduction in cell viability by CellTiter-Glo luminescence assay, GI50 = 0.74 μM. 27814560
Nthy-ori 3-1 Cytotoxicity assay Cytotoxicity against human Nthy-ori 3-1 cells assessed as reduction in cell viability by CellTiter-Glo luminescence assay, GI50 = 2.92 μM. 27814560
A673 qHTS assay qHTS of pediatric cancer cell lines to identify multiple opportunities for drug repurposing: Primary screen for A673 cells 29435139
DAOY qHTS assay qHTS of pediatric cancer cell lines to identify multiple opportunities for drug repurposing: Primary screen for DAOY cells 29435139
Saos-2 qHTS assay qHTS of pediatric cancer cell lines to identify multiple opportunities for drug repurposing: Primary screen for Saos-2 cells 29435139
BT-37 qHTS assay qHTS of pediatric cancer cell lines to identify multiple opportunities for drug repurposing: Primary screen for BT-37 cells 29435139
RD qHTS assay qHTS of pediatric cancer cell lines to identify multiple opportunities for drug repurposing: Primary screen for RD cells 29435139
SK-N-SH qHTS assay qHTS of pediatric cancer cell lines to identify multiple opportunities for drug repurposing: Primary screen for SK-N-SH cells 29435139
BT-12 qHTS assay qHTS of pediatric cancer cell lines to identify multiple opportunities for drug repurposing: Primary screen for BT-12 cells 29435139
NB1643 qHTS assay qHTS of pediatric cancer cell lines to identify multiple opportunities for drug repurposing: Primary screen for NB1643 cells 29435139
OHS-50 qHTS assay qHTS of pediatric cancer cell lines to identify multiple opportunities for drug repurposing: Primary screen for OHS-50 cells 29435139
Rh41 qHTS assay qHTS of pediatric cancer cell lines to identify multiple opportunities for drug repurposing: Primary screen for Rh41 cells 29435139
A673 qHTS assay qHTS of pediatric cancer cell lines to identify multiple opportunities for drug repurposing: Confirmatory screen for A673 cells) 29435139
U-2 OS qHTS assay qHTS of pediatric cancer cell lines to identify multiple opportunities for drug repurposing: Confirmatory screen for U-2 OS cells 29435139
OHS-50 qHTS assay qHTS of pediatric cancer cell lines to identify multiple opportunities for drug repurposing: Confirmatory screen for OHS-50 cells 29435139
Rh41 qHTS assay qHTS of pediatric cancer cell lines to identify multiple opportunities for drug repurposing: Confirmatory screen for Rh41 cells 29435139
SJ-GBM2 qHTS assay qHTS of pediatric cancer cell lines to identify multiple opportunities for drug repurposing: Primary screen for SJ-GBM2 cells 29435139
SK-N-MC qHTS assay qHTS of pediatric cancer cell lines to identify multiple opportunities for drug repurposing: Primary screen for SK-N-MC cells 29435139
NB-EBc1 qHTS assay qHTS of pediatric cancer cell lines to identify multiple opportunities for drug repurposing: Primary screen for NB-EBc1 cells 29435139
LAN-5 qHTS assay qHTS of pediatric cancer cell lines to identify multiple opportunities for drug repurposing: Primary screen for LAN-5 cells 29435139
Rh18 qHTS assay qHTS of pediatric cancer cell lines to identify multiple opportunities for drug repurposing: Primary screen for Rh18 cells 29435139
SJ-GBM2 qHTS assay qHTS of pediatric cancer cell lines to identify multiple opportunities for drug repurposing: Confirmatory screen for SJ-GBM2 cells 29435139
TC32 qHTS assay qHTS of pediatric cancer cell lines to identify multiple opportunities for drug repurposing: Confirmatory screen for TC32 cells 29435139
Saos-2 qHTS assay qHTS of pediatric cancer cell lines to identify multiple opportunities for drug repurposing: Confirmatory screen for Saos-2 cells 29435139
点击查看更多细胞系数据

生物活性

产品描述 Cabozantinib是一种有效的VEGFR2抑制剂,在无细胞试验中IC50为0.035 nM,也能有效抑制c-Met、 Ret、 Kit、Flt-1/3/4、Tie2和AXL,IC50分别为1.3 nM,4 nM,4.6 nM,12 nM/11.3 nM/6 nM,14.3 nM 和 7 nM。Cabozantinib 在结肠癌细胞中可通过AKT/GSK-3β/NF-κB信号通路诱导PUMA依赖的凋亡。
靶点
VEGFR2/KDR [1]
(Cell-free assay)
c-Met [1]
(Cell-free assay)
Axl [1]
(Cell-free assay)
0.035 nM 1.3 nM 7 nM
体外研究(In Vitro)
体外研究活性 XL184是多种受体酪氨酸激酶小分子抑制剂,尤其抑制c-Met 和VEGFR2。XL-184也有效作用于Ret, Kit, FLT1, FLT3, FLT4, Tie2, 和 AXL , IC50分别为 4 nM, 4.6 nM, 12 nM, 11.3 nM, 6 nM, 14.3 nM, 和7 nM。XL184微弱抑制 RON 和PDGFR-β,IC50分别为 124 nM和 234 nM,而对FGFR1则几乎没有抑制活性,IC50 为5.294 μM。[1] XL184低浓度(0.1-0.5 μM) 时处理MPNST细胞,也显著抑制组成型和诱导型Met磷酸化及其下游信号,且抑制 HGF诱导的MPNST细胞迁移和侵袭。XL184作用于细胞因子刺激的人脐静脉内皮细胞(HUVECs),也显著抑制Met和VEGFR2磷酸化。虽然XL184浓度为0.1 μM时不能抑制MPNST细胞生长,但是浓度为5-10 μM 时则能显著抑制MPNST细胞生长。[2]
细胞实验 细胞系 ST88-14, STS26T, 和MPNST724
浓度 溶于DMSO,终浓度~10 μM
孵育时间 48小时
方法 使用不同浓度XL184处理细胞48小时。通过MTS实验使用CellTiter96 Aqueous 非放射性细胞增殖实验试剂盒测定细胞生长。然后在 490 nm处测定吸光值。
实验图片 检测方法 检测指标 实验图片 PMID
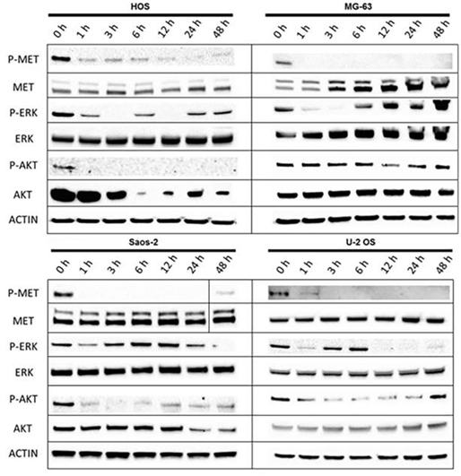
Western blot p-MET(Y1234/1235) / MET / p-EGFR(Y1068) / EGFR / p-Gab1(Y627) / Gab1 / p-AKT(S473) / p-ERK / p-EIF4E p-MET / p-ERK / p-AKT 29188469
Immunofluorescence α-tubulin 29520051
Growth inhibition assay Cell viability 23661005
体内研究(In Vivo)
体内研究活性 XL184按 30 mg/kg 剂量处理携带自发胰岛细胞瘤的RIP-Tag2 小鼠,扰乱 83%肿瘤血管, 降低周细胞和空基底膜袖,引起广泛瘤内缺氧和广泛的肿瘤细胞凋亡,且停药后延缓肿瘤血管再生长,与XL999相比更显著抑制VEGFR而不是c-Met,导致血管降低43%,说明抑制VEGFR,也抑制放大抑制血管新生的其他功能相关的受体酪氨酸激酶(RTK)。XL184也降低原发肿瘤的侵袭和减少转移。[1] XL184 每天按30 mg/kg剂量处理SCID小鼠,显著废除人 MPNST移植瘤生长和转移。[2] XL184 处理乳腺癌,肺癌胶质瘤模型,抑制肿瘤生长,这种作用存在剂量依赖性,降低肿瘤和内皮细胞增殖,促进凋亡。XL184按100 mg/kg 和 10 mg/kg剂量分别单独处理携带MDA-MB-231肿瘤的小鼠和携带C6肿瘤的大鼠,持续抑制肿瘤生长。[3]
动物实验 Animal Models 携带自发胰岛肿瘤的RIP-TAG2转基因小鼠。
Dosages ~60 mg/kg
Administration 口服饲喂
NCT Number Recruitment Conditions Sponsor/Collaborators Start Date Phases
NCT06156410 Recruiting
Ewing Sarcoma|Osteosarcoma
Children''s Hospital of Philadelphia|Children''s Hospital Colorado|Exelixis|Alex''s Lemonade Stand Foundation
October 24 2023 Phase 1
NCT05249114 Active not recruiting
Neuroendocrine Tumors
Providence Health & Services|Exelixis|Advanced Accelerator Applications SA
December 28 2022 Phase 1
NCT05444933 Completed
Advanced Renal Cell Carcinoma
Ipsen
September 16 2022 --
  • [1]https://pubmed.ncbi.nlm.nih.gov/21613405/
  • [2]https://pubmed.ncbi.nlm.nih.gov/21540237/
  • [3]https://pubmed.ncbi.nlm.nih.gov/21926191/

化学信息&溶解度

分子量 501.51 分子式

C28H24FN3O5

CAS号 849217-68-1 SDF Download Cabozantinib (XL184) SDF
Smiles COC1=CC2=C(C=CN=C2C=C1OC)OC3=CC=C(C=C3)NC(=O)C4(CC4)C(=O)NC5=CC=C(C=C5)F
储存条件(自收到货起)

体外溶解度
批次:

DMSO : 100 mg/mL ( (199.39 mM) ;DMSO吸湿会降低化合物溶解度,请使用新开封DMSO)

Water : Insoluble

Ethanol : Insoluble

摩尔浓度计算器

体内溶解配方
批次:

现配现用,请按从左到右的顺序依次添加,澄清后再加入下一溶剂

动物体内配方计算器

实验计算

摩尔浓度计算器

质量 浓度 体积 分子量

动物体内配方计算器(澄清溶液)

第一步:请输入基本实验信息(考虑到实验过程中的损耗,建议多配一只动物的药量)

mg/kg g μL

第二步:请输入动物体内配方组成(配方适用于不溶于水的药物;不同批次药物配方比例不同,请联系Selleck为您提供正确的澄清溶液配方)

% DMSO % % Tween 80 % ddH2O
%DMSO %

计算结果:

工作液浓度: mg/ml;

DMSO母液配制方法: mg 药物溶于μL DMSO溶液(母液浓度mg/mL,:如该浓度超过该批次药物DMSO溶解度,请先联系Selleck);

体内配方配制方法:μL DMSO母液,加入μL PEG300,混匀澄清后加入μL Tween 80,混匀澄清后加入μL ddH2O,混匀澄清。

体内配方配制方法:μL DMSO母液,加入μL Corn oil,混匀澄清。

注意:1. 首先保证母液是澄清的;
2.一定要按照顺序依次将溶剂加入,进行下一步操作之前必须保证上一步操作得到的是澄清的溶液,可采用涡旋、超声或水浴加热等物理方法助溶。

技术支持

在订购、运输、储存和使用我们的产品的任何阶段,您遇到的任何问题,均可以通过拨打我们的热线电话400-668-6834,或者技术支持邮箱tech@selleck.cn,直接联系到我们。我们会在24小时内尽快联系您。

操作手册

如果有其他问题,请给我们留言。

* 必填项

请输入您的姓名
请输入您的邮箱地址 请输入一个有效的邮箱地址
请写点东西给我们
在线咨询
联系我们